Brilio.net - Gigi tidak hanya memiliki fungsi untuk mengunyah makanan tapi juga memiliki fungsi estetika yang menunjang penampilan. Maka dari itu, kamu sangat perlu untuk menjaga kebersihan dan kesehatannya.
Kesehatan gigi adalah gerbang awal kesehatan tubuh. Meski demikian, seringkali kamu menyepelekan masalah ini. Nah, berikut 13 penyakit yang bisa muncul akibat tak menjaga kebersihan gigi yang brilio.net rangkum dari berbagai sumber, Rabu (27/4):
1. Kamu mungkin tahu radang gusi, jika tak kunjung dirawat maka dapat menyebabkan penyakit dan membuat gusi perlahan-lahan terkikis.  
2. Ketika penyakit gusi menyerang dan gusi terkikis dapat menyebabkan  gigi tanggal. 
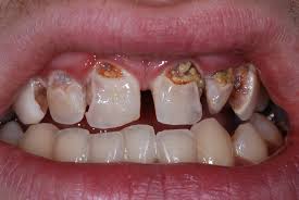
3. Jika bakteri di dalam mulut menumpuk dapat menyebabkan gigi berlubang. 
4. Sisa-sia makanan yang menumpuk dapat menyebabkan bau mulut. 
5. Penelitian menunjukkan jika bakteri yang membuat mulut bau dapat terbawa ke paru-paru ketika kamu bernapas, dan dapat menyebabkan Pneumonia (radang paru-paru). 
6. Untuk ibu hamil yang terkena penyakit gusi bisa menyebabkan kelahiran prematur. 
Kamu nggak menyangka kan? KLIK NEXT untuk melanjutkan.
7. sebuah penelitian menemukan jika penyakit gusi erat kaitannya dengan disfungsi ereksi.
8. Penyakit gusi juga dapat memperburuk gejala Alzheimer.
9. Menurut sebuah penelitian pengikisan tulang yang disertai penyakit gusi dapat membuat pasien terkena penyakit kanker kepala dan leher.
10. Sudi menunjukkan kantong yang dibentuk oleh penyakit gusi adalah ruang yang menarik untuk berbagai virus, termasuk HPV (Human Papilloma Virus), virus yang dapat menyebabkan kutil di berbagai bagian tubuh.
11. Penderita penyakit gusi 4,5 kali lebih rentan terkena penyakit ginjal.
12. Respon tubuh terhadap radang gusi yang diperparah dengan penyakit gusi dapat menyebabkan peradangan di otak.
13. Penelitian menunjukkan seorang penderita penyakit diabetes ketika terkena penyakit gusi dapat memperburuk gejala penyakitnya.
Recommended By Editor
- Oh, begini caranya bikin si kecil minta sendiri sarapan pagi berbekal sereal bernutrisi nan lezat
- 20 Meme ini ungkap susahnya jadi cowok, cewek wajib baca!
- Bukan cuma kata nenek, bidan juga setuju pentingnya jamu terstandar pasca persalinan
- 10 Meme lucu cowok jago memasak ini bikin cewek tersindir, kena deh!
- Cukup 5 menit si kecil jadi suka sarapan cuma berbekal sereal? Ini ceritanya
- 15 Meme sindir kinerja buruk DPR, dijamin kamu ikut ketawa nyinyir!
- 17 Meme kocak Mars Perindo yang nongol terus di TV, nyindir banget nih
- 11 Meme ini ingatkan masa kecilmu bareng keluarga, bikin kangen rumah!
 
             
                             
                 
                 
                 
                 
                     
                 
                     
                        












 
                                 
                                 
                                 
                                 
                                         
                                         
                                         
                                         
                                         
                                         
                                         
                                         
     
                                 
                                 
                                 
                                 
                                 
                                 
                                 
                                 
                                 
                                 
                                         
                                         
                                         
                                         
                                         
                                         
                                         
                                         
     
                                         
                                         
                                         
                                         
                                         
                                         
                                         
                                        
